Vaak krijgen we een cavia met een bijgeluid bij de ademhaling of een benauwde cavia - zwaardere ademhaling, buikslag of een tik in de ademhaling - doorgestuurd. Er zijn al diverse soorten antibiotica gegeven en het lijkt niet aan te slaan. Hoe werken we deze cavia dan verder op?
Een tumor in de longen
Bijgeluid bij de ademhaling ....
Als een cavia een bijgeluid bij de ademhaling heeft, dan beginnen we met een antibioticum, dat goed in de longen kan doordringen: doxycycline, tulathromycine / azithromycine of als laatse keuze quinolonen. Zie de afbeeldng hieronder uit het antibioticum formularium voor konijnen.
Daarbij geven we naast het antibioticum, een pijnstillend en ontstekingsremmend middel (meloxicam) en een slijmoplossend middel (broomhexine).

Snot en niezen bij een cavia ....
We zien bijna nooit snot bij een cavia. Mocht dit aanwezig zijn, dan beginnen we met een antibioticum, een pijnstillend en ontstekingsremmend middel en het spoelen van de neus. Voor het spoelen gebruiken we fysiologische zoutoplossing.
Een verder onderzoek, met een rhinoscopie is zeer beperkt mogelijk. De neusopeningen en neusgangen zijn heel klein bij een cavia en je hebt als dierenarts weinig mogelijkheden om goed in de neus van een cavia te kijken, laat staan dan een behandeling uit te voeren. We kunnen met een 1 mm doorsnede rhinoscoop in de neus kijken, maar we kunnen dan niet veel behandelen.
Ons advies is, als er snot bij een cavia is, om de neus eens goed stevig door te spoelen om hetgeen er zit weg te spoelen. En daarna neusdruppels of spray met fysiologische zoutoplossing te gebruiken.
Bij een konijn kunnen we in de luchtpijp (trachea) kijken, dit lukt ons bij een cavia niet.
Welke bacterie soort zien we vaak bij een cavia ?
We zien vaak dat er een myccoplasma of Chlamydia infectie in de ogen, voorste luchtwegen en longen aanwezig is. Dan zijn er naast de luchtwegproblemen in de longen ook natte ogen en er is zelfs niezen te zien.
Cavia's Kathy en Spike hadden natte ogen en er was een pruttelend bijgeluid te horen.


We hebben rontgenfoto's van vier zijden gemaakt. Van links boven naar linksonder met de klok mee: op de rug liggend (VD) en borst buikligging (DV) en twee keer in zijligging - op rechterzijde liggend (SD) en op de linkerzijde liggend (DS) - om een zo goed mogelijk overzicht van de longen en het hart te krijgen.

We hebben de röntgenfoto's laten beoordelen. Zie hieronder: er is een verdenking van een pneumonie (een longontsteking).

Uit het onderzoek kwam een infectie met mycoplasma naar voren.

Beide cavia's zijn goed genezen met de oogzalf en antibioticum, na 2 weken waren de klachten volledig over.
_______________________________
Vaccineren van een cavia?
Er wordt gesproken over de mogelijkheid om een cavia te vaccineren met een hondenvaccin, dat beschermt tegen de Bordetella bacterie en het parainfluenza virus. Als cavia dierenartsen staan we niet achter de vaccinatie van een cavia. Deze bordetella bacterie komt relatief maar weinig voor bij de cavia, we zien eerder een infectie met een Mycoplasma of Chlamydia bacterie. De Bordetella bacterie reageert goed op de hierboven genoemde antibiotica en het is de vraag of het vaccinneren een meerwaarde heeft voor een cavia. Bij een hond bestaat de mogelijkheid om te beschermen tegen kennelhoest door een vaccinatie. Met een onderhuidse injectie die na 4 weken versterkt moet worden en daarna jaarlijks moet worden herhaalt. Als er een grote groep cavia's aanwezig is in één huishouden zorg dan voor een optimale hygiene, een stofvrije omgeving en dat er voldoende ventilatie is. Er is simpel gezegd een hele hoge infectiedruk als er een grote groep cavia's bij elkaar zit, vaccineren zal niet de oplossing zijn: infectiedruk verminderen is de aangewezen weg!
Een eigenaar met een paar cavia's hoeft niet te vaccineren - er is dan weinig infectiedruk of een kleine kans op besmetting door andere cavia's aanwezig.
_______________________________
Wat te doen als de benauwdheid niet overgaat met een antibioticum ....
Als een cavia niet beter wordt na het geven van een antibioticum, dan kan gekozen worden voor een ander antibioticum, om te zien of dit dan wel aanslaat. Beter is het om röntgenfoto's van de borstholte te maken of er aanwijzingen zijn voor een longprobleem of dat er een hartprobleem aanwezig is.
Cavia Tygo was benauwd - er was een zware ademhaling te zien en er was een bijgeluid te horen bij de ademhaling.
Tygo kreeg doxycycline als antibioticum.

De beoordeling van de röntgenfoto: er is een sterke aanwijzing voor een longprobleem. Dan kiezen we voor een ander antibioticum als behandeling.

Een hartprobleem bij een cavia ....
Tweety had al drie soorten antibioticum gekregen, maar deze sloegen onvoldoende aan.
Bij cavia Tweetie is er er op de röntgenfoto's een aanwijzing van een hartprobleem te zien.

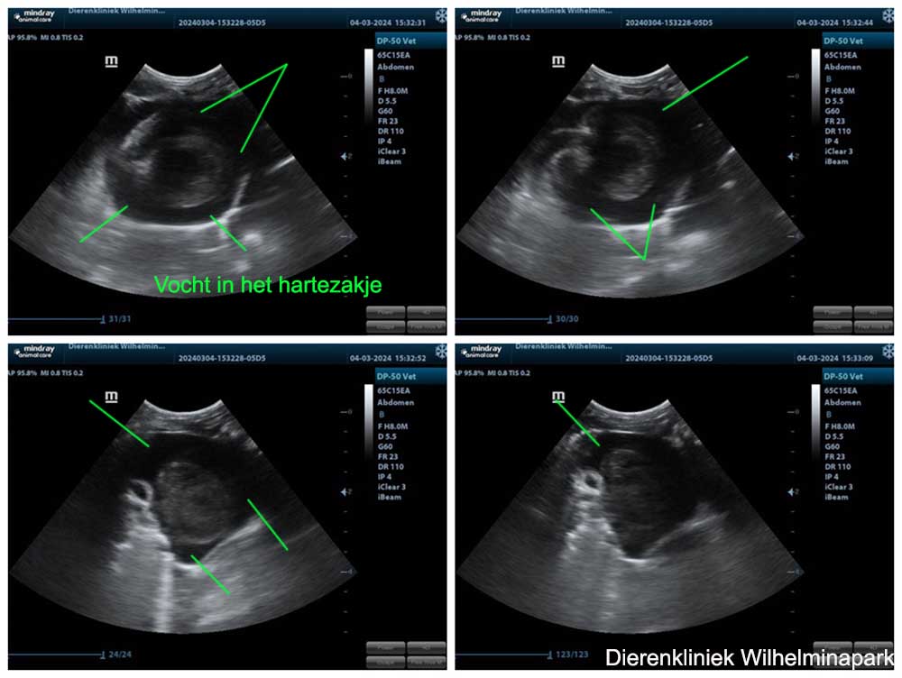
We hebben de röntgenfoto's laten beoordelen: er is een verdenking van een pericard overvuulling. Het hart is vergroot op de röntgenfoto, het advies is om een echo te maken. Met een echografisch onderzoek is een pericardovervulling goed te zien. Er zit dan vocht tussen het hart en het hartzakje.

Op de echo van het hart van Tweetie is vocht naast het hart in het hartzakje te zien - er is een pericard overvulling, zie de foto's hieronder.

We kunnen vochtafdrijvers geven bij een pericardovervulling, maar helaas verder geen andere medicijnen of behandeling aanbieden.

Bij een hart probleem zien we vaak een tik in de ademhaling.
Wat opviel bij Tweetie was een tik in de ademhaling. We zien een dergelijke tik vaak bij een cavia met vocht in de longen ten gevolge van een hartprobleem.
Bij cavia Roos was er ook een hartprobleem ....
Het hart bij cavia Roos was niet vergroot bij cavia Roos, maar op de echo was te zien dat er een hartprobleem speelde.

We hebben een echo van het hart laten maken:

Hartprobleem medicatie bij een cavia ....
Bij een cavia met een hartprobleem geven we in eerste instantie een vochtafdrijvend middel. Als er aanwijzingen door een echografisch onderzoek zijn om een extra hart indersteunend medicijn te geven dan schrijven we dit voor. We laten dan pimobendan geven als hartmedicijn, dit werkt bloeddruk verlagend en geefft een verbetering van de hartslag.
Tumor in de longen
In de longen kunnen tumoren voorkomen, het kan een primaire longtumor zijn. Of er kunnen metastases = tumoruitzaaiingen vanuit een tumor ergens anders in het lichaam in de longen terecht komen.
Bij cavia IJsbeer is er een tumor verdenking
Ijsbeer had al een paar weken antibioticum gekrgen.

We hebben röntgenfoto's gemaakt van de borstholte.

We hebben röntgenfoto's laten beoordelen.

We hebben een echo laten maken van de borstholte. Helaas kwam er een verdenking van een tumor uit dit echografisch onderzoek.

Bij cavia June was er bloedverlies en ze was benauwd
June was een 5 jaar oude niet gesteriliseerde cavia die benauwd was, ze had een tik in de ademhaling en June had al een paar weken antibioticum gekrgen.

We hebben röntgenfoto's gemaakt van de buikholte en de borstholte.


We hebben röntgenfoto's laten beoordelen. Er komt een verdenking van tumoruitzaaiingen uit de beoordeling naar voren. June werd minder benauwd en heeft nog een jaar geleefd, ze kreeg een pijnstiller en ontstekingsremmend middel.

_______________________________
Astma?
Er wordt wel eens aangegeven dat er astma voorkomt bij een cavia, maar dit zal af en toe het geval zijn. Van alle beoordelingen die we naar onze röntgenspecialist hebben gestuurd hebben we nog geen verdenking van astma teruggekregen als diagnose bij de cavia. Astma is ook lastig te zien bij een cavia op een röntgenfoto. De corticosteroïden die bij astma worden gegeven remmen de reactie in de longen af en kunnen op die manier helpen. Zorg voor een stofvrije omgeving - was het hooi en gebruik in plaats van zaagsel een andere bodembedekker.
_______________________________
Let op: als een cavia benauwd is of een bijgeluid heeft bij het ademhalen dan geven we medicijnen - indien deze geen verbetering geven dan gaan we verder onderzoek inzetten om te zien of er een hart of een longprobleem aanwezig is.
In een ideale wereld dan zouden we gelijk bij een benauwde cavia verder onderzoek inzetten, maar dit brengt wel kosten met zich mee.
>NB1: mocht je als dierenarts geïnteresseerd zijn in de doseringen die we gebruiken, dan kunnen we je een email sturen met ons overzicht hierover.
>NB2: mocht je als dierenarts een echo in de kliniek hebben die hartproblemen bij de cavia aan kan tonen dan horen we dit graag van je - we kunnen je dan op een lijst zetten die we naar andere dierenartsen sturen.
_________________________________
NB: Er zijn bijna geen geregistreerde diergeneesmiddelen voor cavia's. De hierboven beschreven diergeneesmiddelen zijn geregistreerd voor het gebruik bij de hond of de kat.
Indien we als behandelend dierenarts denken dat er een diergeneeskundige noodzaak aanwezig is dan mogen we via de cascades behorend bij het Diergeneesmiddelenbesluit en de Diergeneesmiddelenregeling gebruik maken van de hierboven beschreven diergeneesmiddelen bij het konijn.
Lees verder over deze cascade volgens EU model ....